Understanding Smile Aesthetics
The pursuit of the perfect smile has long been a cornerstone of cosmetic dentistry, with symmetry playing a pivotal role in achieving natural-looking results. Modern dental techniques have revolutionised the way practitioners approach smile enhancement, particularly through composite bonding London treatments, which offer a sophisticated solution for achieving dental harmony.
The Science Behind Symmetrical Smiles
Natural Balance and Proportion
When examining facial aesthetics, symmetry emerges as a fundamental principle that influences how people perceive beauty. Understanding the golden ratio in smile design helps dental professionals create results that appear both natural and aesthetically pleasing. This mathematical principle guides practitioners in determining the ideal proportions for tooth size, shape, and alignment.
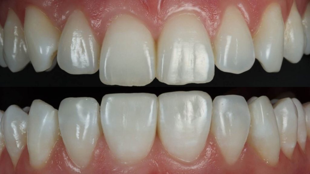
The Role of Composite Bonding
Composite bonding represents a sophisticated approach to achieving smile symmetry. This versatile treatment allows dental professionals to sculpt and shape tooth material with remarkable precision. The process involves carefully applying composite resin to the teeth, which can be manipulated to correct various aesthetic concerns while maintaining natural-looking results.
Key Elements of Symmetrical Enhancement
- Tooth length and width ratios
- Gingival (gum line) alignment
- Midline positioning
- Colour matching and gradation
Precision in Practice
Achieving perfect smile symmetry through composite bonding requires meticulous attention to detail. Practitioners must consider multiple factors, including facial features, lip line, and existing tooth structure. The process demands both artistic vision and technical expertise to ensure that each modification contributes to overall facial harmony. Each tooth plays a crucial role in creating a balanced smile, and composite bonding specialists understand that even minor adjustments can significantly impact the final result. The treatment process involves careful planning and precise execution to ensure that modifications appear natural while addressing specific aesthetic concerns.
Customisation and Individual Assessment
No two smiles are identical, and successful composite bonding treatments reflect this reality. Dental professionals must carefully assess each patient’s unique facial features and dental characteristics to develop a personalised treatment plan. This individualised approach ensures that the final results complement the patient’s natural features while achieving the desired symmetry.
Advanced Techniques in Symmetry Creation
The artistry of composite bonding extends beyond basic tooth enhancement. Modern techniques allow practitioners to address complex aesthetic challenges while maintaining natural-looking results. The relationship between dental symmetry and facial harmony demonstrates how subtle improvements can enhance overall appearance.
Material Selection and Application
The choice of composite materials plays a vital role in achieving optimal results. Modern composites offer excellent colour stability and durability, allowing practitioners to create lasting aesthetic improvements. The layering technique used in application helps replicate the natural translucency and opacity of tooth structure, ensuring that bonded teeth blend seamlessly with their neighbours.
Composite bonding is as much an art as it is a science. While technical precision is essential, the ability to sculpt, shade, and refine the composite material to mimic natural tooth structure is what sets exceptional results apart. Factors such as tooth shape, translucency, texture, and even how light reflects off the surface all play a role in creating a lifelike appearance.
Advanced materials and techniques now allow clinicians to replicate these subtle details with incredible accuracy. Layering different shades of composite resin, for instance, can add depth and vitality to the restoration, making it virtually indistinguishable from the surrounding teeth.
Digital Planning and Implementation
Contemporary composite bonding treatments often incorporate digital planning tools to achieve precise symmetry. These advanced systems allow practitioners to visualise potential outcomes and make detailed adjustments before beginning the actual treatment process. This technological integration helps ensure predictable results that meet both functional and aesthetic requirements.
Maintaining Symmetrical Results
The longevity of composite bonding results depends significantly on proper maintenance and care. Patients who receive these treatments should follow specific guidelines to preserve their enhanced smile symmetry:
- Regular professional cleaning and check-ups
- Careful attention to oral hygiene practices
- Avoiding habits that may damage the bonding material
- Periodic polish and refinement as needed
Looking Ahead: The Future of Smile Design
As dental technology continues to evolve, the possibilities for achieving perfect smile symmetry through composite bonding expand. Advanced materials and techniques emerge regularly, offering even more precise control over aesthetic outcomes. This ongoing development ensures that patients seeking smile enhancement can achieve increasingly natural-looking and lasting results. The art of smile symmetry through composite bonding represents a perfect fusion of scientific understanding and artistic skill. When performed by experienced practitioners, these treatments can transform smiles while maintaining the unique characteristics that make each person’s smile special. The future of aesthetic dentistry continues to brighten as new innovations enhance practitioners’ ability to create beautiful, balanced smiles that stand the test of time.
